.
من الاثنين للجمعة
19:30 أبوظبي
15:30 غرينتش
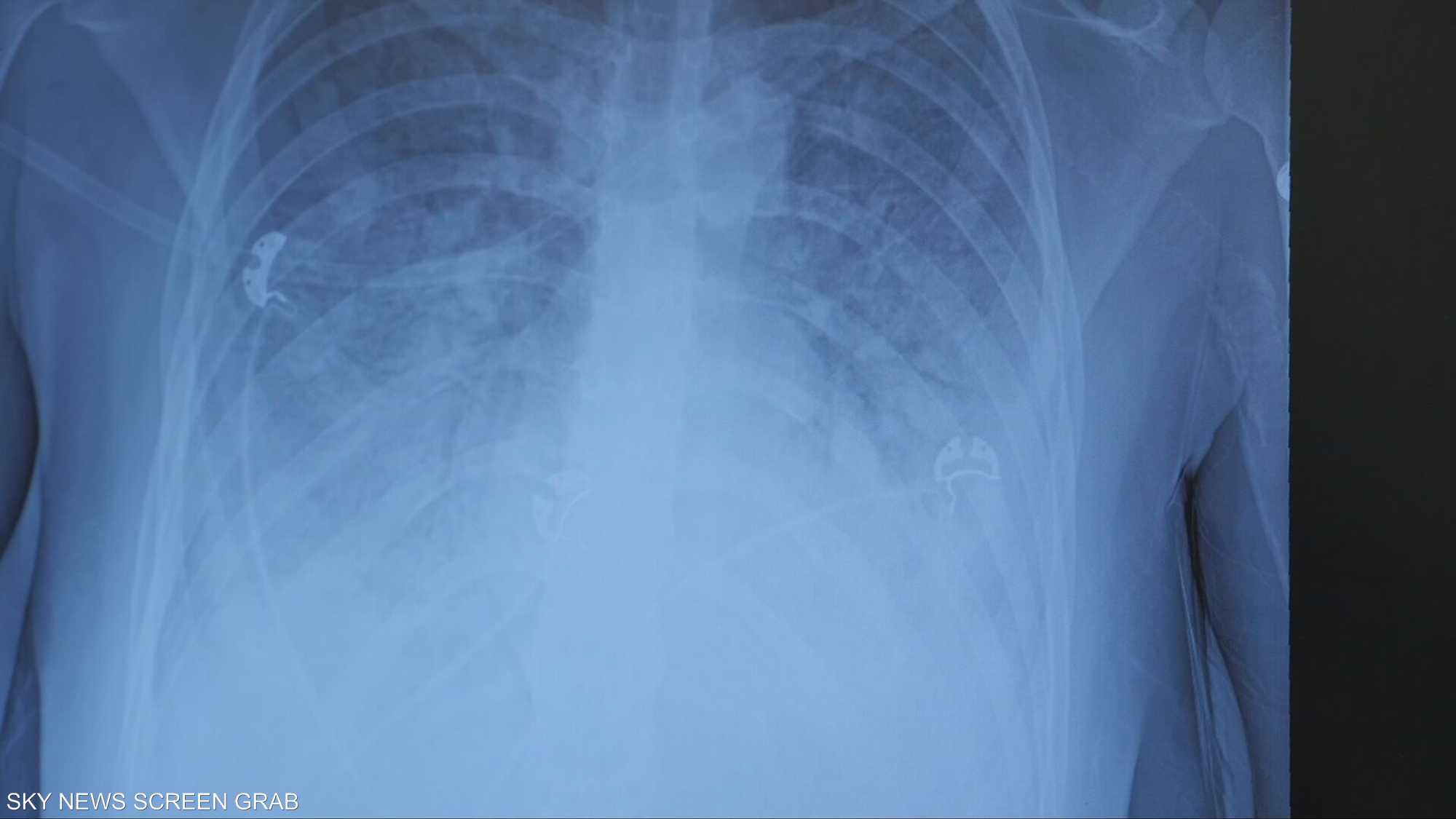
شاب أردني يفقد رئته بسبب الفيب ويدخل رحلة تنفس صناعي

رئة الفشار تهز تيك توك

l 27 مايو 2025

"رئة الفشار" مصطلح أصبح ترندا على منصة تيك توك، بعد إطلاق حملة توعية قادها عدد من الشباب والمؤثرين للحديث عن مرض "بوب كورن لونج"، أو ما يعرف بـ"رئة الفشار"، الناتج عن استخدام أجهزة "الفيب".

رئة الفشار تهز تيك توك | منصات سكاي نيوز عربية

scroll_top